
All-on-4 implants are heavily advertised as an ideal solution mainly because it’s cheaper to provide only all-on-4 dental implants. Unfortunately, if one of the all-on-4 implants fails, that bridge is rendered useless. That means that after going through the investment and the process of having implants placed and a non-removable implant bridge made, a patient would have to be down-graded to a removable denture because 3 dental implants can’t support the original design.
We utilize “All-on-X” which means typically 6 or more. Our goal is to have the most predictable All-on-X implants, long-term success as possible, so we prefer to over-engineer rather than do the bare minimum. In a scenario where a dental implant has problems, a prosthesis supported by more than four dental implants can still be maintained and supported predictably and the patient does not have to wear a removable denture.

On surgery day you will leave with a 3-D digitally designed & esthetically optimized provisional hybrid bridge. Same day!

Our process focuses on the exceptional talent of our dental surgeons combined with TRUE 21st-century digital technology.

We apply our ideal design principles to hybrid bridges, with customized aesthetics based on YOUR wants and needs.

We use the strongest, most beautiful materials on the market and we don’t cut corners. Your gorgeous new smile will last for YEARS!

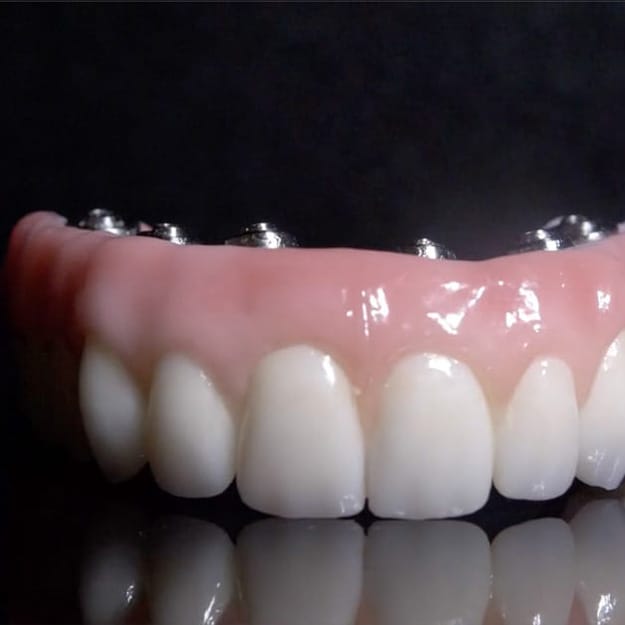
We place 6 dental implants on each arch of your mouth. Many places only place 4 dental implants (to cut costs). More All-on-X implants equal more long-term stability.

We have provided the BEST dentistry for 15 years. We’re a family business (not a faceless corporation) & pride ourselves on our patient relationships.
All-on-4 is heavily advertised as an ideal solution mainly because it’s cheaper to provide only all-on-4 implants. Unfortunately, if one of the All-on-4 implants fails, that bridge is rendered useless. That means that after going through the investment and the process of having dental implants placed and a non-removable implant bridge made, a patient would have to be down-graded to a removable denture because 3 dental implants can’t support the original design.
We utilize “All-on-X” which means typically 6 or more. Our goal is to have the most predictable, long-term success as possible, so we prefer to over-engineer rather than do the bare minimum. In a scenario where an implant has problems, a prosthesis supported by more than four implants can still be maintained and supported predictably and the patient does not have to wear a removable denture.

Traditionally, hybrid All-on-4 dentures were made of standard denture materials -- acrylic teeth and gums. These are much softer than natural teeth, so the teeth will predictably wear down over time. Luckily for all of us, dental materials continue to improve, and there are far stronger, more lifelike options now. At Atlanta Dental Spa, we pride ourselves on striving to provide the best, not the easiest or the cheapest. We want our patients to be thrilled with their results, and we want those beautiful results to be able to hold up for a very long time.
Merging the latest CAD / CAM Dental Implant Design & Planning software AND our detailed 3-D images of your bone from our Cone Beam CT - we are able to precisely plan your surgery down to the millimeter. From this, 3-D Surgical guides are printed to ensure the all-on-x dental implants go EXACTLY where we intend them to go. This increases safety, minimizes post-operative pain, and increases long-term stability overall.
We are known in Atlanta for expert cosmetic dentistry. Having a team of doctors that are experts in Smile Design allows us to create some of the most beautiful all-on-x dental Implant Supported Hybrid Bridges in the world. Not only are the finals hand-crafted by a master ceramist and artist, but they are customized (just like a veneer case would be) to fit YOUR facial features. This is not a situation where “one size fits all.”
Not all dental implants are created equally. We make sure to use the best products available that are backed by years of research and provide excellent warranties and guarantees. We utilize the most cutting-edge designs and materials with the finest ceramics, titanium, and zirconia available. This allows us to provide beautiful esthetics without the common bulky, weaker, problematic designs that so many other offices seem comfortable providing.

The first step at Atlanta Dental Spa for a Hybrid Bridge is a free consultation where you meet our surgeons & team, and a 3-D x-ray will be reviewed so we can explain the All-on-X options available to you.
Each patient has their own unique scenario, so we are dedicated to spending the time and effort with our entire collaborative team (the surgeon, the restoring doctor, and the dental lab) to make sure we are designing a plan that is best for that specific patient. Sadly, many offices default to the same plan for almost everyone, but at Atlanta Dental Spa that’s the opposite of our process. We make sure to evaluate all options, and our default is to plan as many all-on-x dental implants as possible to set the patient up for the safest, strongest, longest-lasting design available.

We want your all-on-x dental implant surgery to be as easy, and forgettable as possible -- who wants to remember surgery? With that in mind, we complete all of our hybrid bridge surgeries under sedation; we even frequently bring in a Board-Certified Anesthesiologist to sedate our patients. Having an anesthesiologist present allows the surgeon to focus on just the surgery, and having a board-certified M.D. in charge of sedation means our patients are in the safest, most capable hands possible.

Over the years, we’ve made our hybrid bridges out of just about every available material which means we’ve seen the pros and cons of them all. Many offices are still using the traditional approach of acrylic (plastic) denture teeth and gums glued to a metal bar as their final restoration, but denture teeth are guaranteed to slowly wear down over time. It’s very common to see fractures occur, because acrylic and a metal bar can’t truly bond together, and the acrylic has flexibility that eventually allows for breaks and cracks to occur. Once a fracture has happened - regardless of if a tooth came off or the entire prosthesis breaks - that area will be prone to fracturing again over time, even after a repair. To add insult to injury, to repair those, the dentist typically has to ship the teeth to the lab for a week, which means the patient is left without their teeth. We can’t have that!

Congratulations! You’ve made it to your final smile! These are truly joyous days that make us jump out of bed and want to run to work. There is nothing more gratifying than seeing a patient receive their completed hybrid denture. That first look in the mirror when a patient sees their true self looking back for the first time in ages is magical. When they check their bite and realize how comfortable, strong, even, and balanced everything feels is a great moment, and it comes with full permission to leave our office and go back to eating absolutely anything they want.




It’s a way to replace all the teeth in your top jaw, bottom jaw, or both using the maximum number of dental implants. The “X” just means the number can change. It could be 4, 5, 6, or more implants. This ensures the best, long-term success for your implant supported devices.
“All-on-4” always uses four implants. “All-on-X” means your dentist will choose the best number of implants for you based on your mouth and bone strength.
All-on-X differs from traditional dentures in that prosthetic teeth are attached to the implants and are not able to be removed by patients. This means that they don't slip or move when talking, they allow you to chew and speak more naturally, help maintain your jawbone from shrinking and take up less space in your mouth meaning that they feel more natural and comfortable.
The goal is decades and decades, and hopefully a lifetime. Implants have only been around for about 45 years, so no implant has survived longer than that, and much about the design, materials, and methods changed in the first 10-15 years. There are lots of healthy implants that are 30+ years old, and if the patient maintains good habits and hygiene, their implants should last a very long time.
We recommend taking a week off of work to have the smoothest experience possible. The recovery itself doesn’t necessarily take that long, but any activity that raises blood pressure or causes lots of facial movements (being on your feet all day, excessive talking, heavy lifting, etc.) will make swelling and discomfort happen that could be avoided. So taking it easy for the week makes for a smooth, comfortable experience.
Most patients. All implants require bone for the implant to anchor in, but typically there is enough bone that major grafting is not required. On occasions, grafting is required for the best result, but even when that is the case it can typically be done in conjunction with the implant placement. Some patients with extremely high lip lines - i.e. patients who show lots and lots of their upper gums when they smile - may have a more favorable outcome with a slightly different approach, but it is fairly rare and we are very capable of that approach as well.
It doesn’t have to be! We pride ourselves on giving patients the best dental experiences possible, and we use multiple cutting edge approaches to help prevent pain such as a 3-day local anesthetic that helps keep the gums partially numb during the first few days of recovery. We also usually centrifuge some of the patient’s own blood to isolate and concentrate all of their best, natural healing factors that we then give back to the patient in the surgery sites. This speeds up healing, decreases pain, and lowers risks of infection. It’s basically making the patient heal like a younger version of themselves, and who doesn’t want that!?!
You take care of implants just like natural teeth. Daily hygiene is critical to maintaining a healthy mouth. We still recommend brushing for two minutes, twice a day, but daily use of a water-flosser is very important for All-On-X patients. We also expect to see you every 6 months for a dental cleaning with one of our hygienists, just like we do for natural teeth.
There are many! All-On-X implants provide the patient with a beautiful, strong, comfortable set of teeth that have no dietary restrictions. You should be able to bite into apples, chew crunchy nuts, and enjoy a steak whenever you want. Unlike some other tooth replacement options, with All-On-X teeth, the patient cannot remove the prosthesis from their own mouths. It is screwed into place by attaching to the implants which give the patient a feeling of stability, security, and strength similar to having natural teeth. Because we are making a full jaw or mouth’s worth of teeth, we can design them to look however we want, which allows the patient to have a cosmetic makeover or recreate a smile similar to what they had naturally. Having implants has been proven to help maintain the bone structure of the jaw which helps keep the patient looking as youthful as possible and slows the progression of bone loss that takes place after a natural tooth has been extracted.
Request an appointment at Atlanta Dental Spa and see how our All-On-X dental treatment can change your smile and your health. Convenient locations in Buckhead, Johns Creek, Highlands, East Cobb, and Brookhaven.






